Home
Books & Courses | Dr AM Thirugnanam | Senior Interventional Cardiologist 🏆 CRT 2026 Washington DC — Highest Graded Abstract Award · Oral Presenter: CTO & Left Main Stenting · Late-Breaking Trial: Tirzepatide & TAVR · View All Awards →…
Senior Interventional Cardiologist
Senior Interventional Cardiologist
Books & Courses | Dr AM Thirugnanam | Senior Interventional Cardiologist 🏆 CRT 2026 Washington DC — Highest Graded Abstract Award · Oral Presenter: CTO & Left Main Stenting · Late-Breaking Trial: Tirzepatide & TAVR · View All Awards →…

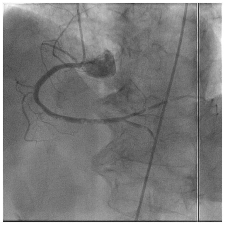
Understanding the Treatment of Non Obstructive Coronary Artery Disease With Myocardial Bridging The treatment of non obstructive coronary artery disease with myocardial bridging has become a growing focus in modern cardiology. Patients can experience chest pain, breathlessness, or fatigue even…

Air Embolism in the Cath Lab: Coronary, Pulmonary and Cerebral Complications Practical guide for cardiologists to recognise, manage, and prevent air embolism in the cath lab – focusing on coronary, pulmonary and cerebral circulation. This article is written for interventional…

Introduction: Infective endocarditis (IE) is a serious and potentially life-threatening condition characterized by the infection of the inner lining of the heart chambers and heart valves. This condition can affect both native heart valves, which a person is born with,…

"Reducing Heart Disease Risk: Understanding the Benefits of Coronary Sinus Reducer"

Dr. Am Thirugnanam is a cardiologist with over 20 years of experience. He specializes in preventive cardiology, cardiac imaging, and interventional cardiology. He is board certified in Internal Medicine and Cardiovascular Disease. He is affiliated with several hospitals in the area and is committed to providing quality care to his patients.

“Nourish your body and soul with Heart-Healthy Delights!” Welcome to Heart-Healthy Delights: The Ultimate Guide to Nourishing Your Body and Soul! This guide is designed to help you make the most of your meals and snacks, while also providing your…

Introduction Primary Pulmonary Artery Hypertension or Idiopathic pulmonary arterial hypertension (IPAH) is a rare disease characterized by elevated pulmonary artery pressure with no apparent cause. PPHTN is also termed WHO Group I pulmonary hypertension (PH), precapillary pulmonary hypertension, and, previously,…

A tremendously increased prevalence of cardiovascular disease (CVD) has been found in women of childbearing age, with the presence of CVD in pregnant women posing a difficult clinical scenario in which the responsibility of the treating physician extends to the unborn…

Acute coronary syndrome (ACS) is a clinical presentation ranging from those for ST-segment elevation myocardial infarction (STEMI) to presentations found in non–ST-segment elevation myocardial infarction (NSTEMI) or in unstable angina. It is almost always associated with rupture of an atherosclerotic…
You must be logged in to post a comment.